Запись №15690
Запись №15689
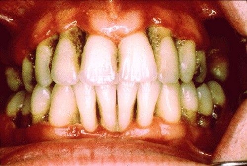
Зубы Курильщика!Оно Вам надо?
Запись №15684
ВОТ ПРИКОЛ ТОЖЕ У МЕНЯ КОМУ И
ВОТ ПРИКОЛ ТОЖЕ У МЕНЯ КОМУ И С ПАЦАНОВ НЕ СКАЖЕШЬ ДАВАЙ ПОМОГУ БРОСИТЬ РАЗ И НАВСЕГДА ХОТЯ БЫ НА ПОЛ ГОДА ВСЕ ГОВОРЯТ ДАВАЙ ДАВАЙ А КОГДА ГОВОРИШЬ ДАВАЙ ТИПА ЖМИ РУКУ КАК ПАЦАН ЧТО КУРИТЬ НЕ БУДИШЬ ПОЛГОДА ВСЕ НАЧИНАЮТ ОЙ НЕ ТАК НЕ ХОЧУ ЛОМАТСЯ СРАЗУ НЕ ПОЙМУ ЗАЧЕМ ТОГДА ГОВОРЯТ ЧТО ХОТЯТ БРОСИТЬ РАЗ начинают ой так не могу
Запись №15675
Запись №15669
Запись №15668
Всего лишь слова!
Курение убьет примерно половину тех,кто начнет курить
Курение убьет примерно половину тех,
кто начнет курить в подростковом
возрасте и будет продолжать курить
в течение жизни.
Сорок лет эпидемиологических
исследований в нескольких странах
обнаружили, что курение убивает
примерно половину стойких
курильщиков, которые пристрастились
к этой привычке в подростковом
возрасте, причем половину из них —
до достижения ими возраста 70 лет.
Большинство людей знают, что табак
опасен, но лишь немногие, даже среди
профессионалов здравоохранения,
осознают, насколько он опасен
в реальности. Недавние исследования
в США показали, что в группе
американских мальчиков 15-летнего
возраста табак, согласно прогнозам,
убьет, прежде чем они достигнут
70 лет, в три раза больше из них, чем
наркотики, убийства, самоубийства,
СПИД, дорожно-транспортные
происшествия и алкоголь, вместе
взятые.







